地坛这“医”刻 | 颅内长“珍珠”,神外团队双镜联合巧采撷
颅内长“珍珠” 双镜联合巧采撷

20多天前,36岁的陈先生突然出现头痛、头晕症状,开始的时候因为在好好休息后症状就能缓解,便没有太在意。可没过几天,头部不适症状又出现了,而且反复发作,这才到医院就诊。
检查后发现,陈先生桥脑小脑角区、桥前池、环池长了巨大“珍珠瘤”。当然,此“珍珠”非彼“珍珠”,而是一种颅脑肿瘤——颅内胆脂瘤。3月20日,球盟会qmh网页版登录神经外科团队采取显微镜和神经内镜联合成功切除。
头部不适竟是一颗“珍珠”在作祟
20多天前,陈先生无明显诱因出现头晕头痛,开始以为是休息不好没有重视。可没过几天,头部不适症状没有减轻反而加重。到医院检查后,结果让陈先生大吃一惊。
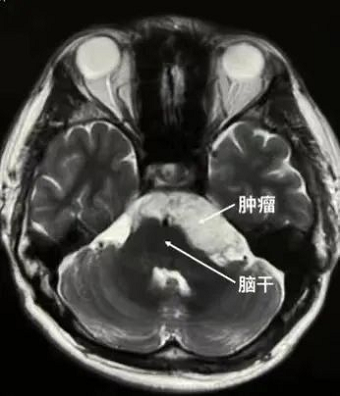
医生告诉他头痛的原因是脑内长东西了——颅内胆脂瘤(珍珠瘤)。虽然临床上,大多数表皮样囊肿是良性病变,但通过头颅磁共振检查发现,在陈先生桥脑小脑角区、桥前池、环池的肿瘤长约6cm,局部脑干及小脑明显受压,如不能及时解除压迫,随着肿瘤不断增长,将会对周围神经系统形成不可逆性损伤,遗留持久性功能障碍。

双镜联合成功切除
“需要开颅呀,其实现在也没有啥特别大的影响,不就是偶尔头痛,我觉得还能忍!”听到是开颅手术,陈先生有些紧张,后来听医生介绍,这种开颅手术只是在耳朵后边,切开一个直径约6cm小的直切口,通过小骨窗,用显微镜、神经内镜以及显微器械进行操作,这才放心地上了手术台。
3月20日,在球盟会qmh网页版登录升级改造后的崭新手术室内,麻醉科主任程灏、副主任牛少宁、赵丽琴大夫等麻醉科团队为手术保驾护航,神经外科主任冯恩山主刀,李培亮医生一助,杨博医生二助,王芳电生理监测,李童护士巡回,杜然护士台上配合,在医护人员精心配合下,手术如期进行。




手术开始!冯恩山主任先沿着耳后直切口,逐层切开头皮、肌肉,暴露颅骨,然后使用高速动力系统,磨钻钻孔,铣刀铣下大小约4cmx4cm的骨瓣,控制导静脉的出血,这时就要使用显微镜了,显微镜下冯恩山主任小心剪开硬脑膜,充分释放脑脊液,以降低小脑对肿瘤的阻挡,随后牵开小脑,“漂亮”的肿瘤就出现在眼前,肿瘤呈乳白色,在显微镜灯光的照耀下显得晶莹剔透,宛如珍珠一样。
在十余年的生长过程中,几乎所有的神经和血管间隙里都长满了肿瘤,这时就要非常仔细地从各个角度将肿瘤分块切除,肿瘤位于脑干的前方,稍有不慎,就有可能导致呼吸心跳的改变,肿瘤因为生长较大,有一部分肿瘤从左侧跨过中线长到了右侧,导致一部分肿瘤“死角”无法使用显微镜观察到,这是神经内镜就派上了用场,从已有的手术通道置入内镜系统,在内镜下,所有藏在死角的肿瘤也无处可逃,都被一点一点地移除。电生理监测提示各支颅神经功能完好。经过3个多小时紧张手术终于顺利切除肿瘤。“这个肿瘤的生长特点给全切带来难度,”谈及手术的难度,冯恩山说,让我们感到棘手的第一个手术难点是肿瘤本身的生长特点,它好发于桥小脑角区、鞍上池及第四脑室等,也就是长在脑袋里面脑脊液流动的各种小水沟、小水池里。这个肿瘤特点是质地较软,见缝就钻,所以生长在脑干、血管与神经之间,并且会向对侧生长,还有就是肿瘤的囊皮会与肿瘤粘连较重,增加神经损伤的风险,从而给手术切除带来难度。手术极具风险的第二个难点是,陈先生的肿瘤长在脑小脑角区,桥小脑角区的解剖部位非常复杂,存在丰富的神经血管脑组织结构和神经,三叉神经、外展神经、面听神经、舌咽神经、迷走神经、副神经都从桥小脑角区经过。在切除肿瘤的同时,更要保护好神经、血管,不能有一点儿闪失。术中及时、准确的电生理监测为保护各支神经功能提供了保障。
易误诊为三叉神经痛
据冯恩山主任介绍,“珍珠瘤”是一种由胚胎发育形成的先天性良性肿瘤。在早期通常没有什么特殊症状,随着肿瘤的不断增大,就会有相应的临床症状产生。
患者多在30~40岁出现无特征性临床症状,临床上接诊到的,一般是生长压迫三叉神经就引起三叉神经痛症状,约占70%左右,极易误诊为原发三叉神经痛,还有些情况是堵塞脑脊液同类引起头痛、恶心等脑积水的症状。这位患者陈先生2006年就得过一次三叉神经痛,当时只做了对症治疗,并没有进一步检查,所以到今年发现肿瘤的时候,经过17年的生长,肿瘤个头已经很大了。
所以,如果出现头痛,或者三叉神经痛、复视、双影、听力下降、面部麻木、走路不稳等症状,而又迟迟找不到原因时,不妨通过颅脑核磁共振(MRI),排除一下颅内胆脂瘤。早期治疗可以取得好的效果,错过最佳救治时间,导致脑部出现积水等情况,就可能给患者带来致命的伤害。
神经中心
球盟会qmh网页版登录神经外科创立于2011年。现开放床位34张,医生11人,其中博士3人,硕士8人。主任医师1名,副主任医师4名。技术力量雄厚、手术设备先进。科室每年显微外科手术近500台次/年,其中高难度的Ⅲ、Ⅳ级手术达95%以上。能熟练开展显微镜及神经内镜下的各种手术,包括神经肿瘤切除术(胶质瘤、脑膜瘤、垂体瘤、听神经瘤、颅咽管瘤等);动脉瘤夹闭术;颅内或脊髓血管畸形切除术;颈内动脉内膜剥脱术;烟雾病搭桥术;脑积水分流术或三脑室底造瘘术;功能性疾病手术(癫痫、面肌痉挛、三叉神经痛等);颈椎退行性变手术(椎管狭窄及椎间盘置换)等。神经介入手术200余台次/年。开展脑及脊髓血管病的各种介入手术,包括全脑血管造影术;动脉瘤及血管畸形介入栓塞术;颅内、外血管狭窄的支架植入术等。
2023年,球盟会qmh网页版登录神经外科与神经内科整合为神经中心,并成立独立的NICU,为重症患者保驾护航。同时卒中中心的成立也为北京市东北部地区的脑卒中患者提供最快最优质的治疗。秉承“以质量求生存,以信誉求发展,立足北京,服务全国”的理念,为广大患者提供优质的医疗服务。

